News
05.07.2024 |
Wir wünschen Euch eine schöne weitere Welpenzeit in Euren neuen Familien
Lady Harmonie (Monie) ist nach Krefeld gezogen Lord Jaro (Gerald) ist nach Bonn gezogen
Lady Empathie (Emie) ist nach Oberwinter gezogen Lord Tamo ist nach Etringen gezogen |
23.04.2024 | Es waren zwei Aufre4gende Tage nach dem die Temperatur immer weiter sank, wurde es immer spannender und endlich heute um 03.08 Uhr in der Nacht, kam das erste Baby und dann relativ schnell die weiteren 5, somit sind es nun 6 Welpen. Rätsel gelöst! ;0) |
16.04.2024 | Heute waren wir beim Röntgen um einen besseren Überblick der Welpen-Anzahl zu bekommen. Aber Hope macht es auch hier spanned, denn man kann vor lauter Fruchtwasser nicht alles erkennen lt. Tierarzt. Also bleibt es weiterhin Spannend! ![]() |
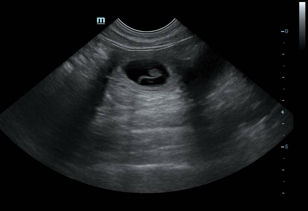
15.03.2024 | Wir freuen uns sehr, Hope ist heute geschallt worden und wir haben ganz viele Kleine Babys sehen können. Nun heißt es warten und hoffen, das wir eine gute Restträchtigkeit haben und eine schöne leichte Geburt mit vielen gesunden süßen kleinen L´s! ![]() |
21.02.2024 | Es ist geschehen, wir konnten mit unserer hübschen Hope nach Frankreich zu Solo fahren und dort 2 schöne Tage bei der Familie Brunello verbringen. Solo ist ein junger, smarter, hübscher und lieber kleiner Rüden, der mir mein Herz schon auf einer Ausstellung im letztem Jahr gestohlen hatte.
Nun heißt es wieder Daumen drücken und wir hoffen auf ein positives Utraschall in ein paar Wochen. Alles weitere nun auf Wurfplanung! |
09.02.2024 | Heute waren wir zum Ultraschall mit unserer Isabell, leider konnten wir keine Welpen in der Bilddarstellung finden, somit werden wir leider keine Kleinen Isabell und Jaöo Babys bekommen. Aber es gibt auch Neuigkeiten: Unsere Hope ist nun heiß und wir hoffen das wir dann mit Ihr bald den Versuch starten dürfen auf unseren L-Wurf! |
11.01.2024 | Heute waren wir mit unseren Süßen Isabell bei dem super entspannten und lieben Rüden Joäo de I´Amitié Fidéle zu Besuch. Die Beiden haben sich auf anhieb gut verstanden. Wenn alles gut geht werden wir in 4-5 Wochen wissen, ob es Nachwuchs geben wird. Also Daumen drücken!
|
17.12.2023 | Heute ist unser lieber und mir sehr ans Herz gewachsene kleine Kuno nach Erpel zu Familie Schmitz gezogen. Wieder erwartend viel mir der Abschied viel schwerer als erhofft, obwohl ich weiß, das er dort einen Himmel auf Erden haben wird. Mach es gut mein Süßer! ![]() |
03.10.2022 | Heute ist unsere süße Kleo nach Berlin zu Familie Apelt gezogen. Dort wartet Ihr Onkel Lié auf sie und wird die junge Dame mit den neuen Menschen betreuen. Wir sind super froh, das sie dort leben darf! ![]() |
02.10.2022 | Heute war die Junghundeburteilung in Burbach bei Siegen und vier unserer J-Wurf Junghunde konnten vorgestellt werden. Sie haben alle sehr gut abgeschnitten und trotz des doch regnerischen Wetters, haben wir Alle unseren Launen gut aufrecht behalten können. Am Ende der Veranstaltung wurde das mit einem Sonnengruß bedankt. Hier ein paar Bilder: ![]()
![]() |
10.09.2022 | An diesem Wochenende waren wir in Holland in Zeeland und haben 3 Hunde von uns vorgestellt. Zum einen unsere Hope, dann unsere Jade und zur gute Letzt auch noch unseren süßen James. James und Jade haben ihn ihrer Altersstufe beiden "V 2" gemacht. Wir sind super stolz auf die Beiden. Hope hatte leider keine Lust im strömenden Regen zu laufen daher ist sie mit der Vorm Note "V" dann ausgeschieden. Zudem wurden wir von unsren lieben Freuden aus Hannover und Erpel tatkräftig unterstützt. Ganz lieben Dank an Alle! ![]()
|
18.08.2022 | Heute ist unser erster K - Wurf - Welpe augezogen jetzt beginnt wieder der große Abschied und so geht ein jeder seinen neuen Weg! Wir sind froh den Wurf in den ersten Wochen begleitet haben zu dürfen und somit viele neue Menschen kennen gelernt zu haben. Macht es gut Ihr Lieben! ![]() Unsere Kleine Kiana ist zur Familie Fels nach Lingen gezogen!
|
15.08.2022 | Heute waren wir in der Tierklinik in Hofheim zur EU. Es war wieder mal alles sehr aufregend und super entspannt unter der liebevollen Betreuung und Untersuchung von Frau Dr. Hartmann. Der erste Eindruck ist vielversprechend und nun hoffen wir auf eine super Endauswertung der Kleine.
![]() |
11.06.2022 | Unser K-Wurf ist heute geboren es sind 3 Rüden und 2 Hündinnen. Und sie sind wirklich sehr süß und propper und super zufrieden! Isabell ist eine super tolle Mutter sie macht ihre Aufgabe sehr gut! Alles weitere nun immer auf Wurfplanung K-Wurf
|
06.05.2022 | Juchu wir bekommen Welpen!
![]() |
11.04.2022 | Es gibt Neuigkeiten.
|
18.03.2022 |
|
24.12.2021 | ![]() |
14.11.2021 | Es ist Sonntag und es haben wieder 2 weitere Welpis ihr Zuhause verlassen um in ein neues, aufregendes hoffendlich langes und gesundes Leben einzusteigen. Macht es gut, unsere Süßen, bis bald...
|
07.11.2021 | So nun geht der Abschied los. Die ersten beiden Welpen sind an diesem Wochenende ausgezogen. Und so geht es nun die nächsten Tage weiter. Wir wünschen Allen ein ganz tolles, langes Leben mit viel Freude und vielen Abenteuern. Macht es gut ....
|
08.11.2021 | Wie die Zeit vergeht nun waren wir schon mit den Kleinen zur EU Untersuchung in Hofheim und wir sind gespannt wie die entgültigen Ergebnisse ausfallen werden.
|
26.10.2021 | Heute war die Wurfabnahme unseres J-Wurfes. Dazu konnten wir wie auch in den letzten Jahren die liebe Claudia in unserem Hause willkommen heißen. Sie hat wieder Mal Alles sehr schön erklärt und wir hatten einen schönen Nachmittag! |
19.09.2021 | Unser lieber B-Wurf wird dieses Jahr nun auch schon 11. Jahr alt Wau! Wir wünsche Euch alles Liebe zu diesen Ehrentag! |
03.09.2021 | Genau eine Woch später heute am Freitag, durften wir unseren J - Wurf empfangen. So nah liegt Freud und Leid aneinander. In den nächsten Tage werden wir von den Kleinen berichten und Bilder online stellen.
|
27.08.2021 | Heute war ein Schwarzer TAG für uns. Wir mussten heute Abend unsere geliebte Apriel gehen lassen. Sie wurde 13 Jahr 2 Monate und 2 Tage alt und hat uns mit jeder Minute ihres Daseins viel Freude bereitet. Es ist nicht in Worten zu fassen, was es heißt, sein erstes Hundebaby was man von der ersten Minute an in den Händen gehalten hat gehen lassen zu müssen. Sie war von Anfang an eine Entscheidung des Herzens das wir uns für sie entschieden haben und sie bei uns bleiben durfte. Das Leben mit ihr war in wenigen Worte gefasst, ein reines Abenteuer aus Steichen, Aufregend und sehr viel Liebe. Nun ist die Zeit leider für uns gemeinsam abgelaufen und wir werden sie sehr vermissen unseren kleiner Stern!
|
04.08.2021 | Und schon wieder ein Geburtstag. Unser lieber D Wurf wird nun auch schon 9 Jahre alt und ich hoffe, das es Allen gut geht Herzlichen Glückwunsch ihr Lieben! |
26.07.2021 | Es ist vollbracht heute hatten wir das erste Utraschall mit unseren Süßen Hope. Zu unserern großen Freude konnten wir dann einige kleine Fruchtblasen erkennen und somit werden wir Anfang September unseren J-Wurf erwarten.
|
11.07.2021 | Man glaubt es kaum, aber auch unser F Wurf wird auch schon acht Jahre alt und somit ist unseren liebe Fee nun auch im Renten-Alter und wird hoffentlich demnächst das erste Mal Oma! Herzlichen Glückwunsch an den ganzen F-Wurf!
|
01.07.2021 u. 3. 07.2021 | Wir haben an diesen zwei Tagen den super schönen und freundlichen Rüden Smiba in Belgien besucht. Er ist ein sehr offener und scharmanter Jungrüde der unsere Hope mit seiner liebvollen Art schnell überzeugen konnte das er der Richtige ist für Ihren ersten Wurf. Nun heißt es Daumendrücken und abwarten! ![]() |
30.06.2021 | Der E-Wurf ist an der Reihe nun ist er schon acht Jahre alt und immer noch haben wir so lieben Kontakt mit den Menschen und unseren E-Wurflern. Danke dafür und einen tollen Geburtstag wünschen wir Euch! |
25.06.2021 | Und jetzt ist es soweit, der A-Wurf wird nun 13 Jahre und somit auch unsere liebe Apriel trotz das es ihr gesundheitlich nicht so gut geht hat sie dieses stolze Alter nun erreichen dürfen. Wir hoffen das sie noch eine Weile bei uns bleiben darf. Aber 13 Jahre ist schon ein stolzes Alter für unsere Briards. Ich hoffe, das Ihr noch einige Jahre Eure Menschen erfreut könnt und es Euch gesundheitlich gut geht und Ihr viel Freude Heute haben werdet. |
20.06.2021 | Hope ist heiß !!! Entlich, nach 13 Monaten Pause kann unser Abenteuer J-Wurf beginnen. Wir schauen voller Freude in die nächsten Wochen und Monate und hoffen auf ein tolles Erlebnis! |
19.06.2021 | Heute waren wir (ich und meine beste Freundin Heike) mit unserer Isabell und ihrer Halbschwester Hope zur Zuchtzulassung gefahren. Isabell hat Ihre 1. Zuchtzulassung gemachgt und tozt bullen Hitze mit sehr hohen Temperaturen ohne Auflagen und Empfehlungen bestanden. Auch Hope konnte sich bei Ihrer 2. Zuchtzulassung in manchen Punkten noch etwas verbessern, da sie mitlerweile zu einer hübschen erwachsenen Hündin herangewachsen ist. Am frühen Abend sind wir müde und mit Sonnenbrand glücklich nach Hause gefahren.
|
11.06.2021 | Und es geht weiter im Geburtstags Karusell jetzt ist der H-Wurf an der Reihe der wird nun auch schon 4 Jahre alt. Und alle sind der lieben Grüße nach wohl auf, das freut mich fühlt Euch gedrückt! Alles liebe zum Geburtstag! |
07.06.2021 | Heute ist es soweit "Happy Birthday" unsere liebe Adica nun ist sie 15. Jahre alt und immer noch eine so hübsche und liebe Maus! Wir hoffen das sie uns noch lange so fit erhalten bleibt!
|
12.05.2021 | 12.02.2021 Und so langsam wird das Jahr rund, man kann bald regelmäßig schauen, welcher Wurf in welchem Monat Geburtstag hat und im Mai ist es nun unser I - Wurf der Heute seinen 2. Geburtstag feiern darf. Alles Gute Euch Allen zum Geburtstag! |
15.02.2021 | Unser lieber C-Wurf wird dieses Jahr nun auch schon 9 Jahre alt Wau! Alles liebe Euch und Euren lieben Menschen! |
12.02.2021 | Ein neues Jahr hat begonnen und Corana wird uns nun doch länger begleiten, als wir gehofft hatten. Daher werden wir wohl noch eine ganze Weile mit dem Virus leben müssen. Da unsere Hope aber leider nicht jünger wird, und wir uns schon lange auf einen Wurf von Ihr freuen, haben wir und nun entschlossen sie in diesem Jahr wie auch schon angekündigt, von dem super schönen Briardrüden Kingloui alles weitere bei "Wurfplanung" decken zu lassen. Unter Einhaltung und Respektvollen Umgang der Sicherheits-Regeln um eine Ansteckung und Ausbreitung des Viruses zu verhindern, werden wir es trotzdem bestimmt schaffen, den neuen Welpen-Interessenten und Welpen auch unter diesen Umständen, eine schöne Welpen und Kennenlern Zeit zu ermöglichen. Wir sind alle sehr gespannt und freuen uns auf das Abenteuer J-WURF! ;0) |
23.01.2021 | Und wieder ist ein Jahr vorbei, alles alles liebe unerem D-Wurf zum 5. Geburtstag! Habt einen schönen Tag und ganz viele Leckerchen! |
01.03.2020 | Unser Endschluß steht nun fest, wegen dem Coronavirus wird es in diesem Jahr keine Welpen geben. Da wir nicht wissen, was uns diese Situation bringen wird und welche Maßnahmen auf uns zu kommen, ist uns dieses Vorhaben zu unbestäding daher werden wir den J-Wurf auf Anfang 2021 verschieben. |
25.01.2020 | Heute war unser Welpentreffen vom I-Wurf, bis auf 3 Welpen waren alle gekommen. Es war wieder eine Freude zu sehen wie schön die Süßen nun gewachsen sind und sich entwicket haben. ![]()
|
24.12.2019 | Wieder ein Jahr zu Ende, in dem wir mit Freude auf das gesamte ganze zurück Blicken können. Und mit Freude auf den ersten Wurf unserer Hündin Hope entgegen sehen. Wir hoffen das wir in 2020 dann wieder die eine oder anderer Austellung besuchen werden und viel Freude an unseren Welpen-Briard-Treffen haben. Damit wünschen wir Euch allen Frohe Weihnachten und einen guten Rutsch in Neue Jahr 2020! |
28.09.2019 | Bei unserem I-Wurf hatten wir zum 1. Mal das große Glück, das ein Teil der Welpen in unserere wohnlichen Nähe geblieben sind. Daher ist es mir zu meiner großen Freude möglich, diese Welpen mit Ihren Besitzer in meiner Hundeschule weiterhin in der Prägung der Welpen und der Ausbildung der Junghunde zu begleiten. |
![]() ![]() |
08.09.2019 | 16.08.2019 An diesem Wochenende waren wir mit unserer Familie und allen Briards in Holland auf der Nederlandsche Briard Club Show in Zeeland. Es war wie immer sehr Aufregend da wir diesesmal das erste mal einen so jungen Hund unere kleine Isabell in der jüngsten Puppy Selektion vorgestellt haben und zur unserer Freude hat sie sehr gut abgeschnitten und den 2. Platz bekommen. Wir sind ganz stolz auf unsere Süße Maus!
|
16.08.2019 | Mittlerweile sind alle Welpen des I-Wurfes ausgezogen und leben nun bei Ihren neuen Familien. Zudem haben wir uns entschlossen das die kleine Isabell bei uns bleiben wird. |
04.08.2019 | 30.09.2019 Heute feiert unser D - Wurf seinen 7. Geburtstag wir gratulieren allen Welpen zu diesen Ehrentag. |
21.07.2019 | Die ersten Welpen sind nun ausgezogen es wird ruhiger im Welpenhaus. Hier einige Bilder vorab, von den Welpen mit ihren neuen Familien.
|
11.07.2019 | Heute wird unser F-Wurf 6 Jahre alt! Herzlichen Glückwunsch den Süße! Und wir waren mit unseren Welpen zur EU Untersuchung. Es war wie immer sehr entspannt, die Kleinen haben es super gemacht und sind sehr schnell bei der Untersuchung eingeschlafen. Im Anschuß waren wir noch mit Unterstützung meines lieben Sohnes Louis und der großen Schwester Hope vor Ort etwas spazieren.
|
07.07.2019 | Und es war hoher Besuch da, Limited Edition war mit seiner Besitzerin und seiner Züchterin zusammen aus Holland angereist, um seinen Nachwuchs zu begutachten hier ein Bild von den stolzen Eltern.
|
06.07.2019 | An diesem Sonnigen heißem Samstag war die Wurfabnahme der Kleinen und wir sind sehr zufrieden mit den Ergebnissen! Alle haben sehr schöne Köpfe und super dunkele Augen auch der Stand der Kleinen ist sehr viel versprechend. ;0) |
22.06.2019 | Heute haben wir im ganz kleinem gemütlichen Rahmen unser erstes Briardtreffen für dieses Jahr gehabt. Mit Kaffee und Kuchen begonnen dann einen schönen Spaziergang mit unseren Briards und zum Abschluß noch ein schönes Grillfest was bis in die späten Stunden genossen wurde.
|
12.05.2019 | Nach langen warten hat uns unsere Fee am Sonntag auf Muttertag erlöst und brachte einen Traumhaften Wurf von 9 Welpen zur Welt. Es sind 5 Hündinnen und 4 Rüden.
![]() |
03.05.2019 | Unsere liebe Fee wird so langsam kugelrund und wir haben und den Luxus gegönnt, da Sie keine Probleme mit dem Ultraschallen hat sondern dieses sogar sichtlich genießt auf der bequemen Matte, vom Tierarzt und den Helferinnen, so wie Familie, wieder mal im Mittelpunkt zu sein. Noch mal zu schauen wie es den Kleinen im Mutterleib zur Zeit geht. Zu unserer Freude sieht alles super aus und die Kleine sind Fit und wedel Ihre Herzen schlagen kräftig und es geht Mutter und Kinder sichtlich gut! Auch von dieser Untersuchung haben wir wieder Bilder und Videos gemacht. Einfach auf eines der Bilder klicken! |
12.04.2019 | Seit Heute haben wir endlich Gewissheit, unsere Fee ist tragend und wir erwarten nun voller Vorfreude unseren I-Wurf Mitte Mai!!! Wir freuen uns so sehr das unsere Feodora und der liebe Limited Edition bald Eltern werden und hoffen bis dahin das alles gut verläuft! |
09.03.2019 | An diesem Wochenende war es soweit, wir konnten mit Feodora nach Holland zu unserem auserwählten Rüden Limited Edition fahren. Sie verstanden sich sofort und haben Eifrig miteinander kommuniziert! Nach 3 ereignisreichen Tagen sind wir glücklich und zufrieden wieder nach Hause gefahren. Es war eine sehr schöne Zeit mit den Hunden und den super lieben Holländichen Gastgebern! Nun sind wir Alle gespannt, ob wir im Mai 2019 Welpen erwarten dürfen. |
|
26.02.2019 | Es ist so weit, unsere Fee ist nun heiß und das Abenteuer zu unseren I-Wuf beginnt. Am Freitag werden wir Fee schon mal dem Tierarzt vorstellen und dann wie immer alles für Euch sorgfältig dokumentiert und veröffentlichen. ![]() |
15.02.2019 | Heute heißt es zum 7. Mal Herzlichen Glückwunsch zum Geburtstag lieber C Wurf! Auf ein langes, gesundes Leben mit vielen Abenteuern! |
23.01.2019 | Unser G-Wurf hat Heute Geburtstag die Süßen werden nun auch schon 3 Jahr alt. Wir wünschen den Lieben alles liebe zum Geburtstag! |
05.01.2019 | Diesen Winter haben wir mit dem ganze Rudel Mensch wie Hund, Urlaub am Meer gemacht. Es war sehr windig und kalt aber schön! ![]()
|
24.12.2018 | ![]() |
20.10.2018 | Ein schöner Spaziergang im goldenen Herbst!
|
07.10.2018 | Heute waren wir auf der Junghundebeurteilung in Braunschweig. Leider konnten nur 2 Welpen vom H-Wurf kommen. War es doch für die meisten eine sehr weite Strecke oder der Job machte einen Strich durch die Rechnung. Wir haben ein schönes Wochenende durchlebt und erfolgreich teilgenommen. Teilnehmer waren unsere Hope und ihr Bruder Human (Líe). Danke liebe Juliane das Du mit dabei warst.
|
06.10.2018 | Heute war die 1. Zuchtzulassung von unserer Hope und wie es der Teufel will, wurde sie vorher noch heiß daher ist sie bei ihrer ersten Hitze nun doch ziemlich durch den Wind. Sie denkt nur an Rüden und markieren und vor allem keine Bewegung mehr wie nötig. |
19.09.2018 | Das warten hat ein Ende heute ist die Post vom BCD gekommen und wir sind überglücklich das nun das letzte Dokument da ist und wir Hope zur Zuchtzulassung in Braunschweig anmelden können. Wir haben eine A Hüfte! Jippie! |
19.09.2018 | Heute feiert unser B-Wurf den 8. Geburtstag wir wünschen von ganzen Herzen alles Gute zu diesem Ehrentag! Viele weitere gesunde Jahre Euch und Euren Lieben! |
18./19.08.2018 | Nun fehlte uns noch eine Ausstellung für unsere junge Hope, damit wir noch in diesem Jahr die Zuchtzulassung mit ihr machen können und so sind wir an diesem Wochenende trotz wieder unerträglicher Hitze nach Gernsheim gefahren um sie dort mit ihrer Mutter Fee vorzustellen. Und was soll ich sagen es hat sich mehr als gelohnt Hope hat nun das erste mal die Platzierung V1 bekommen und ihre Mama Fee konnte mit einem V3 nach Hause fahren.
|
11.08.2018 | Heute ist unser neues Familien Mitglied eingezogen. Ein Kindheitstraum den ich mir nun erfüllt habe, anlässlich meines diesjährigen Geburtstages! ![]() Keine 4 Wochen später, haben wir Mr. Monk dann eine Dame dazu geholt, Tant Ennie sie ist ca. 26 Jahre alt. Hier nun einen Einblick dem Gehege und was meine süßen Briards nun neues zu bestaunen haben.
|
04./05.08.2018 | Heute waren wir auf Hops 2. Ausstellung in Mühlber/Thüringen und haben natürlich Mama Fee auch mitgenommen. Wir waren gespannt auf unsere Ergebnisse.
Am Ende des Wochenendes konnten wir mit schönen Ergebnissen nach Hause fahren Hope hatte einmal V2 und V3 bekommen. Und Ihr Mama V2 und V. Wir sind super zufrieden! :0) |
04.08.2018 | Happy Birthday lieber D - Wurf! Jetzt ist es nun auch bei Euch wieder so weit Ihr werdet heute 6 Jahre alt und ich freue mich immer noch sehr darüber immer mal ein Bild von Euch zu sehen, die ich dank Eurer lieben Herrchen und Frauchen hin und wieder mal bekomme. Ich wünsche Euch einen ganz tollen Geburtstag und alles Gute!!! |
11.07.2018 | Auch unser F-Wurf hat schon wieder Geburtstag, wie die Jahre vergehen ist echt erschreckend. Ich bin immer noch so begeistert wie am ersten Tag über diese tollen Diamanten. Alles nur erdenklich Gute Ihr Lieben zu Eurem Geburtstag! |
30.06.2018 | Alles liebe zu Eurem 5. Geburtstag meine lieben E-Wurf-Welpen ich wünsche Euch allen, das Ihr noch mindestens 3x so alt werdet und alles Gute zu Eurem Festtage! |
25.06.2018 | Happy Birthday A-Wurf !!! Heute feiert unser A-Wurf seinen 10. Geburtstag! Ich kann es gar nicht glauben, dass es nun schon 10 ganze Jahre her ist, dass ich meinen ersten Briard-Wurf in den Armen gehalten habe. Und damit auch ganz liebe wertvolle Menschen kennen und als Freunde schätzen lernen durfte. Einen ganz lieben Dank an meine tollen lieben A-Wurfler! Und einen ganz dicken Kuss an alle A-Babys! ![]() |
11.06.2018 | Happy Birthday lieber H - Wurf! Und schon wieder ist ein Jahr vorbei und so feiert auch schon mein süßer H-Wurf, seinen ersten Geburtstag!!! Ich wünsche Euch einen ganz tollen Geburtstag und alles Gute!!! |
19./20.05.2018 | An diesem Wochenende waren wir in Wiezen auf der CFH Ausstellung. Es war wieder mal ein sehr schönes aufregendes Wochenende mit vielen Eindrücken! Unsere Kleine Hope hat dort Ihr erstes V erhalten! Mit einer Top Bewertung wir sind stolz auf unsere junge Maus! ![]() |
24.03.2018 | Heute war unserer erstes Welpentreffen mit unserem H-Wurf und damit gleichzeitig das erste wiedersehen seit die Zwerge ausgezogen waren. Wir haben uns sehr gefreut das fast alle kommen ein ganz liebes Danke an Alle! Und auch einen ganz besonderen Dank für die Teilnehmer, die von sehr weit her kamen. Es war ein schöner Sonniger und aufregender Nachmittag für Briards und Halter! ![]() |
15.02.2018 | Happy Birthday lieber C-Wurf heute seid Heute seid ihr nun schon 6 Jahre alt und damit im Besten Alter und Blüte! Ich wünsche Euch und Euren lieben Besitzern alles Gute! |
23.01.2018 | Alles liebe zu Eurem 2. Geburtstag wünsche ich Euch von ganzen Herzen lieber G-Wurf! Auch Ihr seid nun schon wieder ein Jahr älter und zu schönen stolzen Briards heran gewachsen! Alles Liebe!!! |
03.08.2017 | Heute war ein spannender Tag, wir sind mit unseren Süßen zur EU (Ektopischen Ureteren) Untersuchung in die Klinik nach Hofheim gefahren. Alle Welpen habe sich wieder mal Vorbildlich benommen und lt. Tierärtztin ist bei allen, alles in Ordnung! Nun warten wir noch auf die Offizielle Auswertung!!! Hier ein paar Impressionen von dem Aufregenden Tag: Die Anmeldung in der Klinik! |
01.08.2017 | Unsere erste Autofahrt mit alles Sinnen, ging heute zum Tierartzt Dr. Jautz nach Koblenz zum Chippen. Wir waren alle ganz lieb im Auto und keiner von uns hatte Probleme mit dem schaukeligen Auto! |
Nun haben wir alle unsere ersten Namen! Wir heißen jetzt: (Gelb) Haakon: der Freund (dkl. Blau) Harvey: des Kampfes würdig (z.Bsp. Wettkämpfe, Ausstellungen ;0) ) (Gold/Braun) Hisoka: der Geheimnisvolle (hell Blau) Human: der Menschliche (weiß) Humprey: der Friedliche (Rot) Heida: die vom edlem Wesen und (Rosa) Hope: Die Hoffnung! |
11.06.2017 | Heute an einem Sonntag ist unser H-Wurf geboren worden, Fee hat sich sichtlich Zeit gelassen und nun am 65. Tag der Trächtigkeit einen Wurf mit 7 Welpen zur Welt gebracht. Es sind 5 wunderschöne Rüden und 2 ganz süße Hündinnen. Fee und den Welpen geht es gut! Hier nun die ersten Bilder! :O)
|
05.05.2017 | Heute war es soweit, wir sind mit unserer Fee zum Ultraschall-Termin gefahren und konnten mit einem positiven Ergebnis wieder nach hause kommen. Unsere Fee ist trächtig wir werwarten nun wirklich im Juni 2017 unseren H Wurf! :0) Wir freuen uns alle riesig!!! |
10.04.2017 | Wir waren mit unserer süßen Feodora in Polen bei dem super lieben Briard Rüden Toffee. Fee war vom ersten Augenblick sichtlich begeistert und wir hatten 3 super schöne unproblematische Deckungen! |
23.01.2016 | Heute ist unser G-Wurf geboren worden, es sind 4 wunderschöne Rüden. Bluebelle und den Welpen geht es gut! Hier nun die ersten Bilder! :O) |
11.01.2016 | Langsam nimmt der Bauch von unseren lieben Bluebelle Form an. Und Sie geht nun sehr entspannt mit vielen kleinen Mahlzeigen in den Tag. Manchmal merkt sie schon die Kleinen wenn sie sich bewegen. Dann schaut sie schnell zum Bauch und jautzt ein wenig auf, als ob sie Kontakt mit den Süßen aufnehmen möchte. Blue genießt ihren Sonderstatus und wird von den anderen Hündinnen ständig begleitet und geputzt!
|
22.12.2015 | Unsere Bluebelle hatte heute ihren Ultraschall-Termin. Und so zu sagen als kleine Vorweihnachtsgeschenk konnten wir zu unserer großen Freude dort einige kleine Briard-Föten entdecken. Nun heißt es warten und dann Ende Januar Anfang Februar hoffentlich einen schönen Korb kleine süße Briardwelpen begrüßen zu können. Hier schon mal die ersten Bilder der Kleinen! |
28.11.2015 | Wir waren mit Bluebelle bei dem lieben Rüden Fausto vom Wälkesberg und haben dort 3 aufregende Tage verbracht wenn nun alles gut geht werden wir Ende Januar 2016 Anfang Februar 2016 Süße kleine Welpen haben! Daumen drücken! :0) |
20.11.2015 | Bluebelle ist heiß und wird noch diesen Monat zu dem lieben Rüden Fausto vom Wälkesberg zum belegen fahren!
|
